This is an old revision of the document!
Table of Contents
BrMicroscopy
Brmlab disponuje nekolika mikroskopy s ruznym uplatneni a mirou kvality. Vetsina z nich spada do kategorie “poloprofi/skolni” krom Makroskopu, ktery je skutecny profi nastroj. Mikroskopovaci stul najdete v rohu biolabu, nelze ho prehlednou vzhledem ke koncentraci mikroskopu na nem ;] Pracoviste je vhodne na pozorovani z terenu donesenych biologickych vzorku [prvoci, rasy, rozsivky, bakterie, drobni zivocichove], zivych bunek, mineralogie, konstrukce a struktury plosnych spoju nebo chipu a urcovani druhu hmyzu. Chod pristroju obstaravaji sumie-dh a pinky.
Obecna pripomenuti
Par drobnosti ktere se hodi vedet nez sednete k mikroskopu:
Optika je citliva a krehka
Pokud je nekde neco zadrhnute, nejde to nasadit, otacet , pravdepodobne je to ucel. Opticke zalezitosti jsou konstruovany tak aby se nasili nemuselo vubec pouzit. Pouzivanim principu “co nejde silou, pujde jeste vetsi silou” nema u optiky co delat. Znicite-li neco timto zpusobem, pravdepodobne o vas bude pozadovana nahrada , viz dalsi bod.
Pokud neco rozbiji, je slusnosti to ohlasit
Nehody se stavaji. Pokud se tak stane, ohlaste skodu sumie-dh. Pocitejte s tim ze optika je pomerne draha a nahrada skody se muze pohybovat v rozsahu tisicu Kc.
Pozorovatel po sobe uklizi
Rezervujte si dostatek casu na uklid pracoviste, omyti laboratorniho skla a navraceni predmetu na sve misto, procedura muze zabrat cca 15 min. Vracejte vse tam kde jste to vzali. Mikroskopovaci stul se po praci desinfikuje 70% roztokem EtOH, ktery najdete ve stricce v prislusnym popisem a setre se do sucha.
Udrzba
Idealni stav mikroskopu po vasem pozorovani je takovy ze dalsi pozorovatel nepozna ze jste s nim pracovali. Navratte pristroj do stavu v jakem byl pred vasi navstevou, zejmena u Makroskopu tak odpadaji nadavky a zdlouhava procedura vedouci k debugovani zdanlive nefunkcnich casti.
Imerzni objektivy [ty se 100x zvetsenim]
Imerzni objektivy vyzaduji ponoreni spicky objektivu do imerzniho oleje. Po skonceni pozorovani je nutne ocistit objektiv od zbytku oleje. Zasychani oleje vede k poskozovani objektivu a zkracovani jeho zivotnosti. K čištění používejte výhraďně buničinu nebo bavlněné ubrousky, nikdy ne papírové kapesníky a ubrousky, obsahují křídu která může objektiv poškrábat.
Stolky mikroskopu
Po kazdem pozorovani omejte stolek mikroskopu navlhcenym [vodou, pripadne etohem] hadrikem / papirovym ubrouskem.
Trinokularni tubusy, tubusy okularu
Zavirat, zakryvat, po nasypani bince dovnitr vycistit! Muze se stat ze dalsimu pozorovateli ktery prijde po vas toto opomenuti znici fotografie / video pritomnosti castecek prachu na cockach uvnitr tubusu.
Pozorovani specifickych objektu
Zive subjekty
Meli jsme v biolabu nekolik pripadu pozorovani zivych tvoru vyssiho radu. Tudiz se hodi pripomenout par veci tykajici se zivych potvor:
- 10 z 10 subjektu nesouhlasi s fixaci, manipulaci a obecnym obtezovanim jejich bezneho fungovani, zkracujete dobu pozorovani na dobu nezbytne nutnou
- pokud pozorujete s prisvitem, pocitejte s tim ze prisvit generuje teplo [markantni zejmena u halogenu stereoskopickeho mikroskopu], jehoz dlouhodobe pusobeni muze vest az k uhynu subjektu.
Pokud napr. pozorujete rybicku v petrisce, vypinejte osvetleni v dobe kdy nepozorujete, teplo jednak zpusobuje ubyvani kysliku ve vode, druhak staci pomerne maly presah teplot k tomu, aby vam subjekt uhynul. Teploty dlouhodobe presahujici 30C nejsou subjektu prijemne.
—
Mikroskopy
V biolabu bydli 3 kusy volne dostupnych mikroskopu. U makroskopu by jsme nicmene radi kdyby se zajemce nechal zaucit.
Nephot 32 aka Macroscope
vhodný pro: pozorování povrchu materialu - povrchy kovů, mincí, struktura chipu a spoju, mineralogie
objektivy: planachromaticke 1,25, 3.2x, 6.3x, 12.5x, 25x, 50x, 100x [imerzni] vsechny s moznosti dodatecneho zvetseni 8x, 10x, 12.5x, 16x, 20x
okulary: 10x
owner: brmlab
Invertovany svetelny mikroskop puvodne pouzivany pro metalurgicke zalezitosti. Aktualne nejlepsi opticky kus a nejslozitejsi mikroskop v celem brmlabu. Jeho maximalni opticke zvetseni muze dosahnout hodnot az 2000x. Stolek muze nest az 2kg tezky vzorek [v dokumentaci je zminen dokonce vzorek do 5kg]. Pred pozorovanim je vhodne chytit si zkusenejsiho uzivatele a nechat si ukazat ovladani pristroje a par dalsich uzitecnych triku. V dnesni dobe se jedna spise o starsi kus. Z tohoto duvodu k Makroskopu prostupujte s nejvyssi opatrnosti, sehnat nahradni dily bude obtizne ne-li primo nemozne. Pokud to bude mozne, ocekava se ze to bude drahe [das ist Carl Zeiss Jena , echt Gold Microscope!]. To znamena:
Pro tezke vzorky vyzivejte kovove podlozky, ktere najdete v prvnim supliku makroskopovaciho stolu. Sklenene se snadno poskrabou a mohou praskat.
Dostupne moznosti pozorovani objektu:
- lightfield
- polarizovane svetlo
- darkfield
Vsechny typy pozorovani je mozno kombinovat s ruznou urovni zacloneni.
PS: zkouseli jsme Makroskop naucit klasickou prusvitovou mikroskopii s biologickymi vzorky [rezy, histologie, zive obrvene potvory], vyzaduje to serii “ugly hacks” pro ziskani neceho co se alespon zdanlive blizi opticke soustave. Mnohem pohodlnejsi je vyuzit nektery z klasickych mikroskopu k tomu urcenych, ktere sice nemaji objektivy vhodne pro mikrofotografii, ale prace s nimi nevede ke ztrate psychicke stability :]
U vsech typu pozorovani je mozno presmerovat output do:
- promitaci deska [stinitko se scintilatorem] [symbol <]
- zrcadlovka + realtime vystup na monitor biolabiho pocitace [symbol V]
- okulary mikroskopu [symbol oka]
- pristrojovy vystup [symbol >], aktualne se vubec nepouziva, nebot nemame casti potrebne k visualizaci vystupu
Typy pozorovani nelze vzajemne kombinovat, pokud chcete zaroven fotit a zaroven koukat, je nejlepsi volbou zobrazeni realtime outputu zrcadlovky na monitoru.
Osvětlení
Makroskop je vybaven náhradním osvětlením z LED diod. Osvětlení se zapne zasunutím napájení na zadní straně makroskopovaciho stolu (druhý napájecí zdroj pro zrcadlovku je tamtéž). Dioda má nastavitelný jas, nastavení se provádí pomocí potenciometru na kablíčku položeném nad promítací deskou. K dispozici jsou LED diody různých barev které lze vyměnit. Výměnu provedeme tak že zhasneme diodu, povolíme šrouby která drží desku s chladičem a diodou, desku vysunem a na její místo zasunem novou tak aby zapadla do držáku a šrouby znovu zlehka dotáhnem (nepřetahovat).
K dispozici jsou dve clony, dva polarizacni filtry a barevne filtry nachazejici se v soustave ihned za diodou. Pokud potrebujete jiny odstin, lze nejake dalsi barevne filtry nalezt v druhem supliku makroskopove skrine.
Podrobnejsi verze manualu:
Podrobny manual k makroskopu se nachazi ve spodnim supliku makroskopove skrine v CZ a DE verzi.
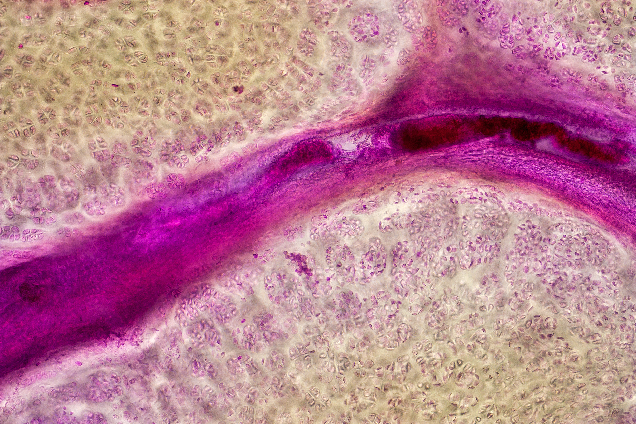
Priklady outputu z mikroskopu:
Miniskop
vhodný pro: biologie, rutinni prusvitova mikroskopie
objektivy: planachromaticke, 3.2x, 6.3x, 16x, 50x, 100x [imerzni]
okulary: 10x
owner: brmlab
PZO Studar
vhodny pro: biologicke preparaty - klasicka svetelna mikroskopie
objektivy: achromaticke - 4x, 10x, 20, 40, 100x imerzni
okulary: 5x , 10x, 12x
owner: chido
Skolni binokularni mikroskop jiz zanikle polske firmy PZO s achromatickymi objektivy. Mikroskop bydli v drevene krabici na mikroskopovacim stole, prosime vracet dovnitr vcetne veskereho prislusenstvi.
Delta Optical Biolight 200
objektivy: achromaticke 4x , 20x, 40x
vhodny pro: biologicke preparaty - klasicka svetelna mikroskopie
okulary: 10x
owner: brmlab
Monokularni mikroskop pro biologicke ucely drobnych rozmeru. Prakticky na tahani po labu a prenaseni.
BrmScope
Zrcadlovky
Aktualne neni k dispozici zadny fotak. Pokud mate linuxovy OS a fotak kompatibilni s https://entangle-photo.org/ je prakticke pouzivat tuto kombinaci. Pokud nemate zadnou fototechniku, ale chcete si odnest z pozorovani nejake kvalitnejsi obrazky, chytte sumie-dh. Je pravdepodobne ze bude mit nekde po kapsach zrcadlovku s prislusenstvim.
Mobilni telefony
Jednoducha cesta k snadno ziskatelnym sirokouhlym jpg obrazkum. Muzete vytisknout bud univerzalni drzak nebo se poohlednout po repozitarich s 3D modely po specialnim pro urcity typ telefonu. Nabidka je pomerne siroka.
Priklady outputu z Samsung Galaxy Note I + Delta Optical Genetic Pro Trino :
DEPOZIT
Pristroje ktere jsme v brmlabu v predeslych letech meli, ale z ruznych duvodu nejsou aktualne k dispozici. Nektere lze vyzadat na konkretni projekt - napiste majiteli ;]
Delta Optical Genetic Pro Trino
vhodny pro: biologicke preparaty - klasicka svetelna mikroskopie
objektivy: achromaticke - 4x, 10x, 20x, 40x, 100x imerzni
okulary : 10 x
owner: sumie-dh
2 - okulary
3 - objektivy
4 - stolek mikroskopu
5 - rucicky pro fixovani sklicka
6 - regulace clony
7 - posuv kondenzoru vertikalne
8 - posuv sklicka dopredu a do stran
9 - LED dioda
10 - regulace jasu osvetleni
11 - on / off osvetleni
12 - posuv stolku vertikalne
13 - jemny posuv stolku vertikalne - jemne doostreni |
Dostupne moznosti pozorovani objektu:
- lightfield
- darkfield [velmi limitovane > ugly hack stylem “posbirej co najdes a naskladej to mezi kondenzor a objektiv”]
Osvetleni:
- podsvit LED diodou s moznosti zacloneni
- moznost pouzivat barevne filtry, aktualne je do clonoveho krouzku mozno vlozit originalni zeleny a sepiovy vypujceny z makroskopovaci sady
Nejvhodnejsi kandidat pro pozorovani beznych biologickych objektu od pohyblivych potvor po histologicke preparaty. Bonus je moznost paralelniho pozorovani pres mikroskopovaci kameru nebo foceni zrcadlovkou s adapterem pro trinotubus. Mikroskop nedisponuje hornim prisvitem, tudiz se nehodi na pozorovani objektu jejichz hmotu nelze prosvitit, na tyto ukoly slouzi Makroskop a stereomikroskop.
Priklady outputu z mikroskopu:
Novex stereomicroscope P-20
- Vhodný pro: pozorování povrchu materialu - povrchy kovů, mincí, struktura chipu, mineralogie, plošné spoje, hmyz, živé subjekty s nemožností průsvitu
- objektivy: achromaticke - 20x, 40x
- okulary: 10x, 20x
- owner: pinky
Stereoskopicky mikroskop vhodny na pozorovani velkych objektu pri malych zvetsenich. Mejte na pameti generovani tepla halogenovou žárovkou ve vztahu k vasemu vzorku a mikroskopu samotnemu. Pokud nepozoruji, diodu vypinam! Maximalni vyska vzorku je 30 mm.
Osvětlení
- šikmy přísvit led diodou
- podsvit halogenovou žárovkou
Priklady outputu z mikroskopu
USB kamera k mikroskopu 3,0Mpx
owner: sumie-dh
Pro plynuly zaznam videa rychle se pohybyjiciho objektu ci ziskavani materialu pro timelapse je prakticke vyuzit USB kamerku. Pristroj se nachazi v zelenem boxu na drevene krabici mikroskopu Studar. Nejjednodussi zaznamemani se da provest pres vlc nebo gucview, oba programy maji GUI pro upravu expozice a jednoduche prostredi pro zaznam. Kamerka se nasazuje do trinokularniho tubusu nebo do okularoveho tubusu misto okularu.
Priklady outputu z kamerky:
RwQs7prdXxw























